At a Glance
- Tooth decay progresses through five stages, from reversible white spot lesions to painful abscesses that may require extraction.
- Early decay (before a hole forms) can be reversed with fluoride, good hygiene, and dietary changes.
- Once a cavity has formed, it cannot heal on its own and needs professional treatment such as a filling, crown, or root canal.
- Most cavities cause no pain in their early stages, which is why regular dental checkups are essential for catching decay early.
- Prevention is straightforward: brush twice daily with fluoride toothpaste, floss, limit sugar, and see your dentist every six months.
Tooth decay is the most common chronic disease worldwide, affecting children and adults alike. The good news is that it is also one of the most preventable and treatable dental problems, especially when caught early.
Understanding how decay progresses, what treatments are available at each stage, and how to prevent it in the first place can save you from unnecessary pain, expense, and tooth loss. Here is a complete guide to tooth decay from a dental perspective.
What Is Tooth Decay?
Tooth decay is the destruction of tooth structure caused by acids produced by bacteria in your mouth. Here is how the process works:
- Bacteria in your mouth feed on sugars and starches from the food you eat
- These bacteria produce acids as a byproduct
- The acids dissolve minerals (calcium and phosphate) from your tooth enamel in a process called demineralization
- Over time, enough mineral loss creates a hole in the tooth, which is what we call a cavity
Your body fights back through remineralization, where saliva delivers calcium, phosphate, and fluoride back to the enamel surface. Tooth decay happens when demineralization outpaces remineralization over an extended period.
The Five Stages of Tooth Decay
Tooth decay does not happen all at once. It progresses through distinct stages, and the treatment options change at each one.
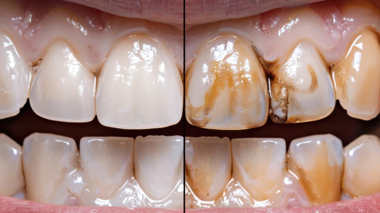
Stage 1: White Spot Lesions (Demineralization)
The earliest sign of decay is a chalky white spot on the tooth surface. This means minerals are being lost from the enamel, but no actual hole has formed yet. You might not notice these spots on your own, but your dentist can identify them during an exam.
Can it be reversed? Yes. This is the only stage where decay can be completely reversed. Fluoride treatments, improved brushing and flossing, and reducing sugar intake allow your enamel to remineralize and repair itself.
Stage 2: Enamel Decay
If demineralization continues, the enamel surface breaks down and a small cavity forms. The decay is still limited to the outer enamel layer. At this point, you probably will not feel any pain because enamel has no nerve endings.
Treatment: A dental filling. Your dentist removes the decayed portion and fills the space with composite resin (tooth-colored material) or another filling material. This is a straightforward procedure that typically takes 30 to 60 minutes.

Stage 3: Dentin Decay
Beneath the enamel is a softer layer called dentin. Once decay penetrates the enamel and reaches the dentin, it can spread more quickly because dentin is less resistant to acid. This is often when you start to feel sensitivity to hot, cold, and sweet foods.
Treatment: A larger filling or, if the decay is extensive, a dental crown. A crown caps the entire visible portion of the tooth to restore its shape and strength.
Stage 4: Pulp Involvement
The pulp is the innermost part of the tooth, containing nerves, blood vessels, and connective tissue. When decay reaches the pulp, it causes inflammation (pulpitis) and significant pain. You may experience a persistent, throbbing toothache that worsens at night or when lying down.
Treatment: A root canal. During this procedure, your dentist removes the infected pulp tissue, cleans and disinfects the inner chambers, and seals the tooth. A crown is typically placed afterward to protect the weakened tooth structure.

Stage 5: Abscess
If pulp infection is left untreated, bacteria can spread beyond the tooth root and into the surrounding bone and tissue, forming an abscess. This is a serious infection that causes severe pain, swelling, fever, and can become a medical emergency if the infection spreads to other parts of the body.
Treatment: The abscess must be drained and the infection treated with antibiotics. Depending on how much tooth structure remains, the tooth may be saved with a root canal or may need to be extracted. A dental implant or bridge can replace an extracted tooth.
Can You Reverse Tooth Decay?
This is one of the most common questions patients ask, and the answer depends entirely on the stage.
Yes, but only at Stage 1. When decay is still in the white spot lesion phase (demineralization without a cavity), the process can be reversed. Your enamel can absorb minerals from saliva and fluoride to rebuild its structure. This requires:
- Fluoride toothpaste used twice daily (fluoride integrates into enamel and makes it more resistant to acid)
- Professional fluoride treatments at your dental office (higher concentration than over-the-counter products)
- Reducing sugar intake to starve the bacteria that produce enamel-damaging acids
- Consistent brushing and flossing to remove the bacterial plaque that drives the decay process
- Drinking water throughout the day to keep saliva flowing and rinse away food debris
Once a cavity has formed (Stage 2 and beyond), the damage is permanent. Lost tooth structure does not grow back. The only option at that point is professional treatment to remove the decay and restore the tooth.
Treatment Options by Stage
Here is a quick summary of how tooth decay is treated at each stage:
- Stage 1 (White spots): Fluoride treatments, improved oral hygiene, dietary changes. No drilling required.
- Stage 2 (Enamel cavity): Small composite filling. Quick, routine procedure.
- Stage 3 (Dentin decay): Larger filling or dental crown, depending on the extent of damage.
- Stage 4 (Pulp infection): Root canal therapy followed by a crown.
- Stage 5 (Abscess): Drainage, antibiotics, root canal or extraction. Possible tooth replacement with an implant or bridge.
The pattern is clear: the earlier decay is caught, the simpler, less invasive, and less expensive the treatment. A $200 filling at Stage 2 prevents a $2,000 crown and root canal at Stage 4.
How to Tell If You Have Tooth Decay
The tricky thing about tooth decay is that it often has no symptoms in its early stages. By the time you feel pain, the decay may already be advanced. Watch for these warning signs:
- White, brown, or black spots on your teeth
- Sensitivity to hot, cold, or sweet foods and drinks
- Pain when biting down
- A visible hole or pit in a tooth
- Persistent bad breath or an unpleasant taste
- Spontaneous toothache (pain without an obvious trigger)
If you are unsure whether a dark spot on your tooth is a cavity or a stain, your dentist can tell the difference with a visual exam and X-rays.

How to Prevent Tooth Decay
Prevention is always better (and cheaper) than treatment. These habits protect your teeth from decay:
Daily Habits
- Brush twice a day with fluoride toothpaste for two minutes each time
- Floss daily to clean the surfaces between teeth where your brush cannot reach
- Limit sugary and acidic foods and drinks. Every time you eat sugar, bacteria in your mouth produce acid for about 20 minutes. Frequent snacking means your teeth are under constant acid attack.
- Drink water throughout the day, especially fluoridated tap water. Water rinses away food particles and helps maintain saliva flow.
- Chew sugar-free gum after meals if you cannot brush. This stimulates saliva production, which neutralizes acids and delivers minerals to your teeth.
Professional Care
- Regular checkups every six months. Your dentist can spot early decay before it becomes a cavity, apply professional fluoride treatments, and clean tartar that traps bacteria against your teeth.
- Dental sealants. Thin protective coatings applied to the chewing surfaces of molars, where most cavities form. Sealants are especially effective for children and teenagers, but adults can benefit from them too.
When to See a Dentist
Do not wait for a toothache. If you notice any of the warning signs listed above, or if it has been more than six months since your last checkup, schedule an appointment. Early detection turns what could be a complex, expensive procedure into a quick, simple fix.
At MySmile Dental Care in Anaheim Hills, Dr. Bhatia uses digital X-rays and thorough clinical exams to catch decay at its earliest stages. Whether you need a preventive fluoride treatment, a filling, or more advanced care, the goal is always to preserve as much of your natural tooth as possible.
Frequently Asked Questions
Can tooth decay heal on its own?
Only the earliest stage of tooth decay (white spot lesions) can be reversed, and only with help. Your body can remineralize weakened enamel when you use fluoride toothpaste, maintain good oral hygiene, and reduce sugar intake. Once decay has broken through the enamel surface and created a cavity, it cannot heal on its own and requires professional treatment.
How long does it take for a cavity to form?
Cavities do not form overnight. The process typically takes months to years depending on factors like diet, oral hygiene, saliva flow, and fluoride exposure. This is one reason regular dental checkups every six months are so important. Your dentist can catch decay in its early stages when it is still reversible or requires only a small filling.
Does tooth decay always hurt?
No. In fact, most early and moderate cavities cause no pain at all. Tooth decay usually does not become painful until it reaches the inner layers of the tooth (the dentin or pulp), which may not happen until the cavity is already significant. This is why you should not wait for pain before seeing a dentist. Regular exams catch painless decay before it becomes a bigger problem.
Can you reverse a cavity once it has formed?
Once a true cavity (a hole in the enamel) has formed, it cannot be reversed. The damaged tooth structure does not grow back. However, the very first stage of decay, where minerals are lost from the enamel but no hole exists yet, can be reversed with fluoride treatments, improved hygiene, and dietary changes. This is why early detection is so valuable.
How much does it cost to treat a cavity?
Treatment costs vary depending on the stage of decay and the procedure needed. A simple composite filling typically costs between $150 and $400 per tooth without insurance. A crown ranges from $800 to $3,000, and a root canal can cost $700 to $1,500 before the crown. Catching decay early with a routine filling is far less expensive than waiting until you need a crown or root canal.
Are silver (amalgam) fillings safe?
Yes. The American Dental Association, the FDA, and the World Health Organization have all affirmed that dental amalgam is a safe and durable filling material. While amalgam contains mercury, it is bound to other metals (silver, tin, copper) in a stable compound that is different from the mercury found in fish or thermometers. That said, many patients and dentists now prefer tooth-colored composite fillings for aesthetic reasons.
How can I prevent tooth decay?
The most effective prevention strategy combines daily habits with professional care: brush twice a day with fluoride toothpaste, floss daily, limit sugary and acidic foods and drinks, drink water (especially fluoridated tap water), and visit your dentist every six months for checkups and cleanings. For children and adults with deep grooves in their molars, dental sealants provide an additional layer of protection.
Disclaimer
This article is for informational purposes only and does not constitute dental or medical advice. It is not a substitute for professional dental care, diagnosis, or treatment. Always consult your dentist or other qualified health care provider with any questions you may have about a dental condition or treatment. Reading this content does not establish a patient-provider relationship with MySmile Dental Care.
Worried About a Cavity?
Early detection saves you time, money, and discomfort. Dr. Bhatia can examine your teeth, identify decay at any stage, and recommend the most conservative treatment to protect your smile.

